Biology Bricks Logo

Find a Section

Use this quick set of links to find a section you want.

Genetic Disorders

Helpful Links

Print icon  Wordsearch icon  Keyword icon  Pinterest logo

Keywords

Diseases, disorder, condition, genetics, genes, cystic fibrosis, Turner syndrome, Klinefelter syndrome, Patau's syndrome, Down's syndome, generations, mutations.

Different karyotypes
Genetic disorders

Introduction

A genetic disease, or disorder, is a disease that can happen to someone later in life because of a genetic trait (such as Huntingdon's Disease), or that someone is born with (such as Down's Syndrome). What they have in common are that they are types of genetic disease or disorder.

Mutations

So, a genetic disease is a mutation of someone's genes, and they are passed down through generations. So if your father had a genetic disorder, he can pass it on to you, and so on with your children, and your children's children. The same goes for it back through the family tree.

It can also skip a generation. That's right, if your father didn't have a genetic disorder, but your grandfather did, then you could effectively have this disorder.

There are also different types of disorder, as follows:

  • Single-gene diseases: caused by a mutation in one of your genes. They are currently a major focus of gene therapy research.
  • Chromosomal diseases: this is where chromosomes are missing are altered.
  • Autosomal dominant diseases: people who carry a single mutated copy of a gene in a each cell will be affected. This means that one side of your family tree will have this disease.
  • Autosomal recessive diseases: people who carry this, must have 2 mutated copies in order for it to be passed down.
  • Mitochondrial diseases: only the female will pass this type of disease down to younger generations.
  • X-Linked dominant diseases: these are more common in females than in males.
  • X-Linked recessive diseases: these are more common in males than females.
Autosomal inheritance

YouTube Video

The following still is from a video on inherited disorders, with the following details:

Please click on the image to view the video.

Watch this video from Fuse School on YouTube
Facts icon

A 7-year-old girl named Olivia is the only known case of Chromosome 6 deletion. She does not feel hunger, pain or need to sleep. In 2016, she was hit by a car and dragged nearly 100 feet, but felt no pain and emerged with only minor injuries.

Common Genetic Diseases

Some common genetic diseases include:

  • Cystic Fibrosis
  • Turner Syndrome
  • Crohn's Disease
  • Klinefelter Syndrome
  • Patau's Syndrome
  • Down's Syndrome
  • Edward's Syndrome
Different genetic disorders

Pinterest Board

If you are unable to see the board, please click here.

Cystic Fibrosis

Cystic Fibrosis

Helpful Links

Print icon  Wordsearch icon  Keyword icon  Pinterest logo

Keywords

Cystic fibrosis, genetics, disease, alveoli, bronchials, mucus, cilia, airways, organs.

Introduction

Cystic Fibrosis is a genetic disease that affects multiple organs. It mainly affects your lungs, and limits your ability to breathe the longer you have it. If you take a look at the lungs, there are two pathways called bronchus, and they branch out into bronchioles. These are smaller airway 'tubes' that allow you to breath. These tubes are covered with a thin layer of mucus. This mucus performs a cleaning exercise to help clean your airways as you breathe in and out. The hairlike cilia move the mucus away from the lung area.

Cystic Fibrosis infographic
Facts icon

People with Cystic Fibrosis are encouraged to stay six feet apart from another person with the same condition. This is due to certain types of bacteria that can be passed between them, as they are the only ones that carry these bacteria.

Symptoms Surrounding Cystic Fibrosis

There are symptoms that you can get if you have Cystic Fibrosis, and they include:

  • Coughing
  • Production of mucus
  • Shortness of breath
  • Regular infections
  • Heightened infections - worse than normal

Obviously, over time, your respiratory system will become more and more susceptible to infection, and more and more bacteria and germs will infect them. Having said that, there are treatments you can take to help prevent further infections and to control any lung damage you may have.

Cystic Fibrosis symptoms and treatment
Cystic Fibrosis anatomy

What Does This Have to do with Cystic Fibrosis?

Okay, so that explains what the lungs do, and you should already know that as well. Cystic Fibrosis is a genetic disease that doesn't allow the mucus to move away by the cilia. Over time, this thick mucus can eventually block your airways, and create a mucus plug at the end of the bronchioles.

YouTube Video

The following still is from a video on cystic fibrosis, with the following details:

  • Name: Beth's Cystic Fibrosis Story | Nuffield Health
  • Author: Nuffield Health
  • Length: 5:07 (5 minutes, 07 seconds)

Please click on the image to view the video.

Watch this video from Nuffield Health on YouTube

Pinterest Board

If you are unable to see the board, please click here.

Polydactyly

Helpful Links

Print icon  Wordsearch icon  Keyword icon  Pinterest logo

Keywords

Polydactyly, extra fingers, extra toes, appendages, surgery, genetic disorder, birth condition.

X-ray of polydactyly
Types of Polydactyly

Introduction

We don't all have this condition, but it is given at birth. It can be passed down through generations, meaning it is a hereditary genetic condition that gives a baby an extra finger, toe or appendage.

Hands and Feet

Generally speaking, it is the most common occurence of hand and feet defects at birth, but sometimes it doesn't affect anything else with the baby, and they can grow up being healthy and without impairment. It can also occur with other defects during birth, with the addition of other genetic syndromes.

Polydactyly can occur naturally, although it is considered a genetically inherited trait.

Polydactyly in hands and feet
Facts icon

Cats can be born with polydactyly. This gives them what looks like an opposable thumb, and means they could grip items and objects like a human can.

YouTube Video

The following still is from a video on polydactyly, with the following details:

Please click on the image to view the video.

Watch this video from Paediatric Foot and Ankle on YouTube
Polydactyly in cats

Symptoms at Birth

A baby with polydactyly can have any of the following symptoms:

  • Skin and soft tissue
  • Skin, soft tissue, and bone but no joint
  • Skin, soft tissure and bone with a joint

They can be located:

  • On the small finger side - most common
  • On the thumb side, also called thumb duplication
  • In the middle of the hand - least common

Genetics

So, as I mentioned above it's a genetic condition. It can affect one out of 500 babies, and usually it's only the one hand or foot that is affected. Black children are more inclined to have an extra finger, whereas Asian and white children are inclined to have an extra thumb.

Pinterest Board

If you are unable to see the board, please click here.

Down's Syndrome

Helpful Links

Print icon  Wordsearch icon  Keyword icon  Pinterest logo

Keywords

Down's syndrome, genetics, DNA, deoxyribonucleic acid, chromosome 21, trisomy 21, facial features, learning development, lower IQ, treatments.

Girl with Down's syndrome
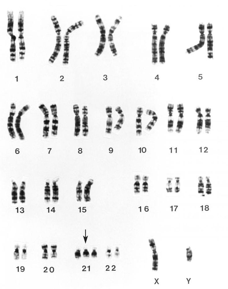
Down's syndrome karyotype

Introduction

A genetic disease that wasn't fully understood until the 1970s, Down's Syndrome is where a baby has an extra chromosome (more precise, an extra copy of chromosome 21). This is known as 'trisomy', and you may find Down's Syndrome also being called Trisomy 21.

As a baby develops within the womb, and once born, Down's Syndrome can change how the body and brain develop, and this can cause mental and physical problems later in life.

Down's Syndrome Features

Although a child with Down's Syndrome can act like a normal child, they might have a lower IQ, or be slower to speak than other children. Some other features include:

  • A flattened face
  • Almond-shaped eyes that slant upwards
  • A short neck
  • Small ears
  • A tongue that tends to stick out of the mouth
  • Tiny white spots on the iris of the eye
  • Small hands and feet
  • A single line across the palm of the hand
  • Small pinky fingers that can curve toward the thumb
  • Poor muscle tone or loose joints
  • Shorter in height throughout childhood and adulthood

Each year, up to 1,000 babies can be born with Down's Syndrome. This is the most common form of chromosome abnormality, and is the most widely known and recognised genetic disorder.

Down's syndrome anatomy

YouTube Video

The following still is from a video on down's syndrome, with the following details:

  • Name: Down Syndrome, Causes, Signs and Symptoms, Diagnosis and Treatment.
  • Author: Medical Centric
  • Length: 5:14 (4 minutes, 14 seconds)

Please click on the image to view the video.

Watch this video from Medical Centric on YouTube
Facts icon

In 1983, the average life expectancy of someone with Down's Syndrome was 25 years old. Today, that life expectancy is now around 60.

Testing and Diagnosis

Diagnosis can happen as early as 24 weeks in the womb. A pregnant woman can have a test to see if the baby is developing correctly, and there are two tests that can be taken, but none of them guarantee anything. For diagnostic tests, there are three types:

Chorionic villus sampling: this examines material from the placenta.

Amniocentesis: this examines the amniotic fluid (the fluid from the sac surrounding the baby).

Percutaneous umbilical blood sampling: this one examines a blood sample taken from the umbilical cord.

Treatments

Down's Syndrome is a lifelong condition, and there is no cure for it, however, if viewed from an early age, it can be helped in early life, with clinics running services that will help with mobility and intellectual abilities.

Once a child reaches school age, they may also need support with work and learning, and this is done through SEN placements, and other various supports they are entitled to.

Symptoms of Down's syndrome

Pinterest Board

If you are unable to see the board, please click here.

Turner syndrome karyotype

Turner Syndrome

Helpful Links

Print icon  Wordsearch icon  Keyword icon  Pinterest logo

Keywords

Turner syndrome, Dr. Henry Turner, genetic disorder, short stature, broad chest, low hairline, low-set ears, webbed neck, horseshoe kidneys, ear infection, loss of hearing, small fingernails, infertility.

Introduction

Turner syndrome is a rare genetic disease that affects 1 in 2,000 female babies each year. It is dominant only in females, and means that they have 1 X sex chromosome instead of 2. It is not linked to the mother's age, and happens randomly within the womb during pregnancy.

Turner syndrome was discovered in 1938 by Dr. Henry Turner. He was an endocrinologist, and he was one of several scientists that found symptoms of the syndrome.

Girl with Turner syndrome
Facts icon

Women with Turner syndrome are more susceptible to middle-ear infections, and once they have this, they are at greater risk of other infections, or hearing loss.

Features of Turner Syndrome

Some distinguishable features of Turner's syndrome include:

  • Short stature
  • Broad chest
  • Low hairline
  • Low-set ears
  • Increased weight/obesity
  • Small fingernails
  • Webbed neck
  • Ear infections/loss of hearing
  • Poor breast development
  • Horseshoe kindeys

As a result of some of these characteristics, a woman with Turner syndrome can prove infertile, and have a lack of monthly periods. Sometimes, as a result of the lack of periods, it can result in the syndrome not being diagnosed until puberty (or the lack of) has shown.

Treatment

There is no cure for Turner syndrome, however, it can be treated when it had been diagnosed. Throughout their lives, women with the syndrome will be routinely scanned of their hearts, kidneys and reproductive system. Life expectancy is slightly lower than that of the average, but it can lead to a relatively normal and healthy life.

Turner syndrome anatomy

YouTube Video

The following still is from a video on Turner syndrome, with the following details:

Please click on the image to view the video.

Watch this video from Turner syndrome support society on YouTube

Pinterest Board

If you are unable to see the board, please click here.

Man with Klinefelter syndrome

Klinefelter Syndrome

Helpful Links

Print icon  Wordsearch icon  Keyword icon  Pinterest logo

Keywords

Klinefelter syndrome, Dr. Harry Klinefelter, tall in height, infertility, penis, enlarged breast tissue, extra X chromosome

Introduction

Klinefelter syndrome affects mainly male patients, and is a genetic disorder where they have an extra X chromosome. It can sometimes go unnoticed, as someone with Klinefelter syndrome can show no symptoms. Others that do show symptoms can show cognitive, social, behavioural and learning difficulties.

Klinefelter anatomy
Klinefelter karyotype

Features of Klinefelter Syndrome

Adults can also show a decrease in testosterone production, smaller testes than normal, and other features such as:

  • Tall stature
  • Enlarged breast tissue
  • Infertility
  • Enlarged opening of penis
  • Small penis

Life expectancy is normal when a male has Klinefelter syndrome, and although there are treatments for the syndrome, as a lot of people will go under the radar and not even get diagnosed with it, it goes without treatment for many people who do have a diagnosis, as the treatment is optional. However, treatments include:

Testosterone replacement: with low testosterone levels, this can be replaced, similar in style to hormone replacement therapy, a supplement of testosterone can be taken. This helps with male features, and also can protect against osteporosis and decrease the onset of autoimmune disease and breast cancer.

Education interventions: support can be given to people with the syndrome, much like they would if they were on the ASD scale, or other disabilities. This can be helpful for self-esteem, and to provide that extra support if necessary.

Therapy: several forms of therapy, such as physical, speech, occupational, behavioural and mental health can be given. These can help with learning difficulties, speech and language problems, muscle tone, and other aspects of the syndrome.

Klinefelter syndrome was first mentioned by Dr. Harry Klinefelter in 1942, similar to how Turner syndrome was first recorded.

Facts icon

A film called Chaos Theory, released in 2008, describes a guy's relationship with his wife, where he then finds out he has Klinefelter syndrome, and that his child might not even be his child (as Klinefelter can make men infertile).

YouTube Video

The following still is from a video on Klinefelter syndrome, with the following details:

  • Name: What is Klinefelter's Syndrome?
  • Author: Health Sketch
  • Length: 4:54 (4 minutes, 54 seconds)

Please click on the image to view the video.

Watch this video from Health Sketch on YouTube

Pinterest Board

If you are unable to see the board, please click here.

Patau syndrome anatomy

Patau's Syndrome

Helpful Links

Print icon  Wordsearch icon  Keyword icon  Pinterest logo

Keywords

Patau's syndrome, cleft lip, chromosome 13, trisomy 13, brain dysfunction, abnormal eyes, small head, malformed, birthmarks.

Introduction

Patau's syndrome is a rare genetic disorder that is caused by having an extra copy of chromosome 13 in some or all of the body's cells. It is also known as Trisomy 13.

Patau syndrome
Patau anatomy

Features of Patau's Syndrome

Where each cell normally carries 23 pairs of chromosomes, a baby with Patau's syndrome has 3 copies of chromosome 13, instead of the usual 2. As a result of this, it can mean that the baby is not developed to full term during pregnancy, or can be stillborn.

Symptoms

The following features can be attributed to Patau's syndrome:

  • Brain dysfunction - the brain does not split into two sides
  • Heart defects
  • Cleft lip and palette
  • Abnormally small eyes
  • Small head size
  • Facial features all malformed
  • Raised or severely red birthmarks

Treatments

As most babies die of the syndrome before they reach any significant age, there is no treatment for the syndrome. A baby will receive pallative care as a result of the syndrome until they pass on. There are severe health problems associated with the syndrome. A family will be offered all the support they need if they find out their baby has the syndrome, with counselling and other forms of support.

Facts icon

Quite distressing to have this happen, but a baby that has Patau's syndrome is unlikely to live past their first birthday, due to complications with the genetic disorder.

YouTube Video

The following still is from a video on Patau syndrome, with the following details:

Please click on the image to view the video.

Watch this video from Dr Bhanu Prakash on YouTube

Pinterest Board

If you are unable to see the board, please click here.

Exam Questions

Test yourself with these exam-style questions. Try not to cheat by opening the anwers first...

1. What is the main symptom of Polydactyly?

An extra appendage/extra fingers or toes.

2. Turner syndrome was discovered by which physician?

Dr. Henry Turner.

3. Describe what an autosomal recessive disease is.

Two people that carry a mutated copy of a chromosome will cause this type of disorder.

4. True or false: Patau syndrome allows people to live a normal life.

False. Patau syndrome happens at a young age, and often causes fatality at a very young age.

5. Describe the main features of Cystic Fibrosis.

Larger collection of mucus in the lungs, regular infections, heightened infections, coughing.

6. True or False: Down's syndrome is the lack of an extra chromosome.

False. It is the addition of an extra copy of chromosome 21.

Recognised Scientists

Scientists background
John Langdon Down

John Langdon Down

A British physician, Down localised and discovered the syndrome named after him.

More...

The Legal Bits

Cookies | Disclaimer | About Me | Sitemap

Social Media

Facebook icon  Instagram icon  Pinterest icon

Quotes icon